فروش لام میکروسکوپی غضروف فیبری (آموزشی)
تمادکالا از فروشگاههای اینترنتی تجهیزات آزمایشگاهی، لام میکروسکوپی آموزشی غضروف فیبری را به خریدارن ارائه میدهد. برای اطلاع از ویژگیها و دیگر اطلاعات این محصول به بخشهای بعدی مراجعه کنید.
لام آزمایشگاهی، یک وسیله ی شیشه ای یا به ندرت پلاستیکی است که در آزمایشگاهها بسیار کاربردی است. این محصول به صورت استریل و غیر استریل میتواند تولید شود. یک قطعه شیشهای نازک است که نمونهها برای مطالعه و بررسی در زیر میکروسکوپ روی آن قرار میگیرند. لام آزمایشگاهی شیشهای از جنس شیشه قلیای آهکی یا شیشه بروسیلیکات است و جنس پلاستیکی آن از پلی استایرن ساخته میشود. معمولا با ابعاد 1 × 25 × 75 میلیمتر است. این ابعاد با توجه به کاربرد میتواند متفاوت باشد. از لامل که یک قطعه شیشه کوچک برای قرار گیری بر روی ماده است، با قرار گرفتن روی سطح لام، برای مشاهده نمونه ها استفاده میشود. در مواردی گوشه های لام ها جهت ایمنی بیشتر به صورت گرد تولید میشود.
لام های آموزشی لامهای آماده شده و دارای نمونه هستند که جهت آموزش در مدارس و مراکز آموزشی تولید شده اند. این لام ها قابل استفاده در آزمایشگاه مراکز آموزشی هستند. از انواع این لامها میتوان به لام میکروسکوپی غضروف فیبری اشاره کرد.
ویژگی لام غضروف فیبری
- سهولت جابه جایی نمونه زیر میکروسکوپ
- امکان برچسبگذاری نمونهها، جابهجایی و ذخیرهسازی آنها
موارد استفاده لام غضروف فیبری
- جابهجایی نمونهها
- قابل استفاده برای آزمایشگاههای زیست شناسی
- نگهداری نمونه های آزمایشگاهی و نمونه های کشت بافت جهت بررسی در زیر میکروسکوپ
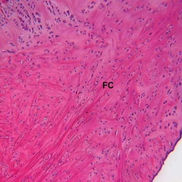
- برای بررسی بافت و ساختار غضروف فیبری زیر میکروسکوپ استفاده میشود.
نکات مربوط به استفاده از لام
- لام میکروسکوپ مرغوب باید سطح صاف و شفاف و بدون خش داشته باشد.
- باید سطح آن کاملا تمیز باشد و هیچ آلودگی و غباری روی آن نباشد.
- لام آزمایشگاهی باید استحکام مناسبی داشته باشد.
- برای سهولت کار با لام، لبههای آن صیقل داده شده باشد.
- برای پاک کردن لام ها از الکل استفاده نکنید و با یک دستمال نرم و تمیز و خشک به آهستگی روی لام را تمیز کنید.
- بهترین نحوه نگهداری لام در جعبه لام و بصورت عمودی است.
- لامهای میکروسکوپی را در جای خشک و خنک و دور از تابش نور آفتاب نگهداری کنید.
- از نگهداری جعبه های حاوی لام در مجاورت مواد شیمیایی به دلیل خاصیت خورندگی خودداری کنید.
- در صورت نیاز به استفاده از روغن ایمرسیون فقط یک قطره روغن و فقط روی لامل به آرامی بچکانید و پس از اتمام کار حتما روغن را با دستمال پاک کنید.
خرید لام غضروف فیبری
تماد کالا این محصول را با قیمت و کیفیت مناسب به مشتریان ارائه میکند. جهت سفارش محصول به صورت اینترنتی به ابتدای صفحه مراجعه کنید.